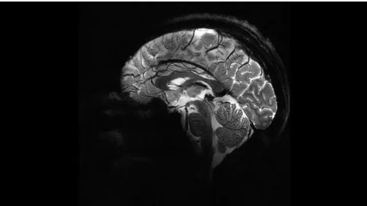
Ερευνητές της Επιτροπή Ατομικής Ενέργειας της Γαλλίας (CEA), σκάναραν για πρώτη φορά έναν ανθρώπινο εγκέφαλο με τον πιο ισχυρό μαγνητικό τομογράφο που διαθέτει σήμερα η ανθρωπότητα.
Περίπου 20 εθελοντές, που δεν αντιμετώπιζαν κάποιο πρόβλημα υγείας, μπήκαν στο μηχάνημα, μετά την έγκριση που δόθηκε από τις αρμόδιες υπηρεσίες για τη χρήση της τεχνολογίας σε ανθρώπους.
ΔΕΙΤΕ ΕΔΩ.
Novibet ΕΠΑΘΑ με Super Προσφορά* Γνωριμίας* 21+ | ΑΡΜΟΔΙΟΣ ΡΥΘΜΙΣΤΗΣ: ΕΕΕΠ | ΚΙΝΔΥΝΟΣ ΕΘΙΣΜΟΥ & ΑΠΩΛΕΙΑΣ ΠΕΡΙΟΥΣΙΑΣ | ΓΡΑΜΜΗ ΒΟΗΘΕΙΑΣ ΚΕΘΕΑ: 2109237777 | ΠΑΙΞΕ ΥΠΕΥΘΥΝΑ
SEAJETS Ταξιδεύουμε μαζί με το μεγαλύτερο στόλο ταχύπλοων παγκοσμίως σε 50 προορισμούς του Αιγαίου!

