Αίσιο τέλος είχε η περιπέτεια ενός τετράχρονου παιδιού από την Κρήτη, το οποίο λίγες ώρες πριν την έλευση του 2024, κατάπιε κατά λάθος ένα κέρμα και μεταφέρθηκε εσπευσμένα στο νοσοκομείο του Ηρακλείου.
Οι γιατροί προχώρησαν στην έγκαιρη και επιτυχημένη αφαίρεσή του και όλα πήγαν καλά.
Πιο συγκεκριμένα, ο μικρός κάτω από αδιευκρίνιστες συνθήκες κατάπιε κατά λάθος ένα κέρμα και όταν οι γονείς του αντιλήφθηκαν τι είχε συμβεί έσπευσαν να το μεταφέρουν στο νοσοκομείο. Το παιδί δυσκολευόταν μεν να αναπνεύσει, αλλά ευτυχώς είχε τις αισθήσεις του.
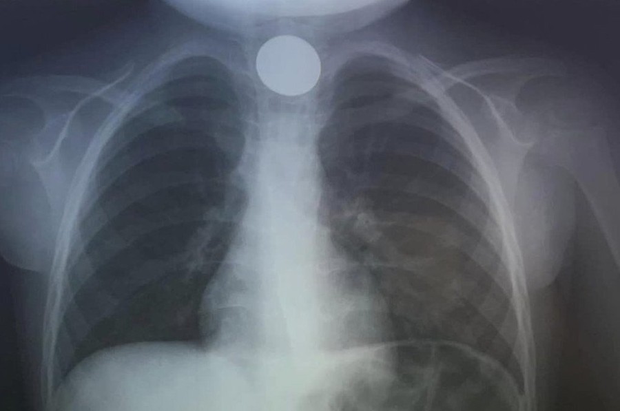
Όταν έφτασαν στο ΠΑΓΝΗ, η πρώτη κίνηση των γιατρών ήταν να του κάνουν ακτινογραφία, για να δουν σε ποιο σημείο ακριβώς είχε σταθεί το νόμισμα και αμέσως μετά προχώρησαν στη διαδικασία αφαίρεσής του. Δεν πέρασε πολύς χρόνος και οι γιατροί κατάφεραν να αντιμετωπίσουν επιτυχώς το επείγον περιστατικό, λύνοντας ταχύτατα το πρόβλημα.
Στη συνέχεια το 4χρονο αγοράκι επέστρεψε σπίτι του και υποδέχθηκε μαζί με τους δικούς του ανθρώπους το ερχομό του νέου έτους.
Την κατάσταση κλήθηκαν να αντιμετωπίσουν γιατροί στην Ωτορινολαρυγγολογική Κλινική του ΠΑΓΝΗ. Σε σχετική ανάρτηση της κλινικής αναφέρεται το περιστατικό μαζί με ευχές για μια καλή χρονιά: «Αποχαιρετάμε το 2023 με επείγουσα αφαίρεση σε κατάποση κέρματος σε 4χρονο. Καλή Χρονιά».
Novibet ΕΠΑΘΑ με Super Προσφορά* Γνωριμίας* 21+ | ΑΡΜΟΔΙΟΣ ΡΥΘΜΙΣΤΗΣ: ΕΕΕΠ | ΚΙΝΔΥΝΟΣ ΕΘΙΣΜΟΥ & ΑΠΩΛΕΙΑΣ ΠΕΡΙΟΥΣΙΑΣ | ΓΡΑΜΜΗ ΒΟΗΘΕΙΑΣ ΚΕΘΕΑ: 2109237777 | ΠΑΙΞΕ ΥΠΕΥΘΥΝΑ
SEAJETS Ταξιδεύουμε μαζί με το μεγαλύτερο στόλο ταχύπλοων παγκοσμίως σε 50 προορισμούς του Αιγαίου!

